Добавить новость

Беломышечная болезнь особо опасна для цыплят

ФГБУ «Краснодарская МВЛ»
888
Беломышечная болезнь особо опасна для цыплят

Специалистами подведомственного Россельхознадзору ФГБУ «Краснодарская МВЛ» на основании патологоанатомического и гистологического исследования у погибшего цыпленка обнаружены изменения характерные для беломышечной болезни, зернистой дистрофии печени, гломерулонефрита (воспаление клубочкового аппарата почек), копростаза (закупорка кишечника).

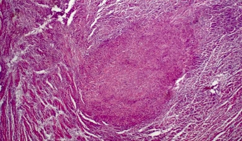
Почему же возникает беломышечная болезнь, как её можно диагностировать? Беломышечная болезнь – заболевание чаще молодняка кур и других животных, возникающее вследствие недостаточного поступления в их организм селена, витамина Е. Клинически оно характеризуется расстройством функций движения, а морфологически – развитием в мышечных тканях патологических изменений. Заболевание сопровождается нарушением всех обменных процессов и общим токсикозом, в тканях проявляются дегенеративно-воспалительные процессы, особенно это выражено в сердечной мышце. Мышечная ткань атрофирована, белого цвета, имеет вид вареного куриного или рыбьего мяса. В других органах застойные явления, отек, кровоизлияния, дистрофические изменения.

Постановка диагноза основывается на данных полученной клинической, патологоанатомической и гистологической картины. Для гистологического исследования изготавливаются срезы из пораженных мышц и других органов и окрашиваются гематоксилин-эозином.

При гистоисследовании устанавливают распад мышечных волокон с замещением их клеточным пролифератом из гистиоцитов, лимфоидных клеток и фибробластов, восковидный некроз, зернистую дистрофию и другие патологии.

Вылечить цыплят можно только на ранней стадии заболевания. Наиболее эффективным для лечения и профилактики является применение микроэлемента селена и витамина Е в их сочетании.

Беломышечная болезнь – это опасное заболевание, которое может стать причиной гибели практически всего молодняка. Лучше предупредить заболевание качественными добавками, чем потом сожалеть из-за высокого процента смертности среди цыплят. Проводите диагностику своевременно!

Источник: пресс-служба ФГБУ «Краснодарская МВЛ» Россельхознадзора

Этот материал опубликован пользователем сайта через форму добавления новостей.
Ответственность за содержание материала несет автор публикации. Точка зрения автора может не совпадать с позицией редакции.
Moscow.media
Музыкальные новости

Новости Краснодара





Все новости Краснодара на сегодня
Губернатор Краснодарского края Вениамин Кондратьев



Rss.plus

Другие новости Краснодара




Все новости часа на smi24.net

Новости Краснодарского края


Moscow.media
Краснодар на Ria.city
Новости Крыма на Sevpoisk.ru

Другие города России